Lassen Sie uns einen Blick auf Ihr Herz werfen.
Interdisziplinär. Transparent. Direkt.
Das Gespräch zwischen Patient und Arzt (die sogenannte "Anamnese") ist einer der wichtigsten - jedoch oft unterschätzten - diagnostischen Wegpunkte in der Kardiologie und muss für jeden Patienten individuell gestaltet werden.
Ein unentbehrliches Werkzeug und das kleine Einmaleins der Kardiologen. Selbstverständlich führen wir auch Langzeit-EKG und Langzeit-Blutdruckuntersuchungen durch. [mehr]
Zur Beurteilung der Leistungsfähigkeit und Belastbarkeit eines Patienten. Unter Last können dann das EKG und der Blutdruck beurteilt werden. Unsere speziellen Liegend-Ergometer sind auch für ältere Patienten gut geeignet.
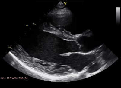
Der Ultraschall des Herzens dient vor allem der Beurteilung von Herzklappen, Herzpumpfunktion dun sonstiger Herzstrukturen. Die Untersuchung erfolgt in Linksseitenlage und kann am Monitor verfolgt werden. [mehr]
Die sogenannte Duplexuntersuchung der Carotiden. Hierbei werden Flussgeschwindigkeiten untersucht und Engstellen beurteilt. Die Untersuchung erfolgt in Rückenlage. [mehr]
Eine transösophageale Echo-kardiographie (TEE) erfolgt mit leichter Sedierung. Eine Narkose ist nur in Ausnahmefällen nötig. Bei dieser Untersuchung kann oft speziellen Fragestellungen (z.B. Herzklappenerkrankungen) nach- gegangen werden. [mehr]
Eine Kombination aus Ergometrie und Echokardiographie. Dabei wird das Herz kontrolliert an seine Belastungsgrenze herangeführt. Die Untersuchung bietet sich bei koronarer Herzerkrankung, Herzklappenerkrankungen und Herzschwäche an. [mehr]
Durch unsere Praxis erfolgen täglich ambulante Coronarangiographien (Herzkatheteruntersuchungen) im Bethanien-Krankenhaus. Dabei werden die Herzkranzgefäße untersucht und bei Bedarf "repariert". [mehr]
Wir führen Herzschrittmacher- und Defibrillatorkontrollen aller führenden Hertseller in regelmäßigen Kontrollintervallen durch. [mehr]
Bethanienstraße 15a
47441 Moers
Fax: 02841 - 149333
Montag, Dienstag und Donnerstag: 08.00 - 12.30 Uhr und
13.30 Uhr bis 17.00 Uhr
Mittwoch und Freitag:
08.00 Uhr bis 13.00 Uhr
Montag: 08.00 - 15.30 Uhr*
Dienstag: 08.00 - 15.30 Uhr*
Mittwoch: 08.00 - 13.00 Uhr*
Donnerstag: 08.00 - 15.30 Uhr*
Freitag: 08.00 - 13.00 Uhr*
Samstag/Sonntag geschlossen.
*Weitere Termine nur nach Vereinbarung.
© Alle Rechte vorbehalten